時間:2018-07-18 20:09:20來源:本站整理作者:wsl點擊:
孩子長雙排牙是什么回事,為什么孩子會長出雙排牙呢,孩子長雙排牙正常嗎,雙排牙很多人都說是魔鬼牙,那么這個雙排牙究竟有多么嚴重呢,八寶網小編就來說說吧。
今天小編在網上看到一則報道,著實被震驚了!
家住湖北武漢的黃女士,最近為兒子樂樂的牙齒問題擔心萬分;
樂樂上一年級,班上別的孩子們都開始換牙了,他卻一點兒動靜都沒有,直到8歲,才開始出現換牙的跡象,這讓黃女士很是著急:孩子的乳牙怎么就這么“頑固”,非要去診所看醫生才行!
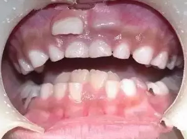
結果,由于樂樂之前長的乳牙沒有及時脫落,導致下牙齒中間的新牙被擠壓成倒八字的形狀生長,中間還留有半顆牙齒的空隙,看上去就像長了兩行形狀怪異的雙排牙,俗稱“魔鬼牙”!

大家千萬別小看這“魔鬼牙”,它不僅會嚴重影響孩子接下來恒牙的正常萌出,還會對寶寶的頜骨、牙床發育造成不良影響,將來會影響面容美觀;
長了“魔鬼牙”的寶寶,因為牙齒活動不變,會導致咀嚼率降低,無法充分地吸收各種食物的營養,對孩子的健康發育是十分不利的。
同時,“魔鬼牙”會影響孩子的口腔衛生,使得患齲齒的風險概率大幅度增高!
小編看完這則新聞之后,也非常奇怪:為什么有的孩子掉牙換牙都很正常,有的孩子就會出現這種乳牙滯留的現象呢?
原來,“魔鬼牙”的成因,除了恒牙先天性缺失、很大情況下與孩子平日的飲食習慣有關。
新聞中提到的樂樂,就是個典型“吃軟不吃硬”的孩子,平日里喜歡吃面包、蛋糕這樣口感蓬松的軟質甜食,最大的愛好就是喝甜飲料,拿著旺仔牛奶當水喝,一天能喝四五瓶!

樂樂媽媽雖然覺得孩子的飲食習慣不好,但抱著“反正孩子將來也會換牙”的心態,并沒有嚴加阻止,從而釀成了不良后果!
爸媽如果這樣也這樣想,就大錯特錯啦!
小編在這里建議,寶寶換牙時,父母們一定要對孩子的飲食多加留意:
1、避免過多的精細加工食物攝入:可以給寶寶多吃粗糧、堅果等質地較粗糙、富含纖維的食物,強化孩子牙頜系統的咀嚼能力;
2、有意識引導孩子多吃質地較硬的水果:蘋果、梨等質地堅脆的水果都是很不錯的選擇,換牙期間,媽媽可以切成小塊給孩子吃,借機讓孩子鍛煉牙齒咀嚼;
3、孩子1歲之后,盡量少用榨汁機:很多爸媽都會有認知上的誤區,覺得把蔬菜水果打成汁或者泥孩子更容易接受,營養也更加容易吸收,其實這是不科學的,無形之中就錯過了鍛煉孩子咀嚼力的機會!
像小好長到這么大,小編讓她喝果汁的次數屈指可數,2歲以后,小編家里的輔食機就落了灰,現在有了弟弟,才又重新拿出來用!
如果發現孩子有乳牙滯留的現象,最好的辦法就是選擇正規的醫院或者牙醫診所,及時就醫,幫孩子拔除乳牙;
爸媽們也無須過分擔心,只要發現后及時快速地處理,“魔鬼牙”基本不會對孩子的發育造成負面影響;

如果滯留的乳牙已經影響到孩子牙齒的上下排列位置,就要在醫生的指導幫助下,進行口腔正畸治療了。
在日常生活中,為了預防乳牙滯留和其他牙病,請爸媽們務必重視以下幾點;
1、教育寶寶養成早晚刷牙、飯后漱口的好習慣:
6個月之前的寶寶,媽媽可以用指套牙刷或者干凈柔軟的紗布,幫助寶寶輕輕清理擦拭口腔黏膜和牙槽黏膜;最好一天1-2次;
6個月之后,媽媽就可以用尼龍質地的牙刷來幫寶寶刷牙啦,建議使用兒童專用的可吞咽牙膏,每次使用1粒米大小的量即可,逐漸幫助寶寶熟悉刷牙的流程,建立刷牙的好習慣;
這個時候寶寶年紀小,所以是推薦使用含氟牙膏的,如果媽媽不放心,可以跟牙醫溝通之后,給寶寶牙齒定期涂氟。
2-4歲的寶寶,建議選擇該年齡段的兒童牙刷,牙刷不用特別軟,中等的軟硬度寶寶刷起來會比較舒服;

牙膏用量為1粒豌豆大小即可,6歲以上的寶寶,牙膏用量可以增加到牙刷刷頭那么長;
有的媽媽想給孩子使用電動牙刷,也是可以的,但是最好在5歲開始使用,并且一定要得到家長的協助,因為寶寶自己很難控制好電動牙刷的力度,用起來很容易撞到牙齦,造成損傷;
2、改掉寶寶的不良小動作:如果發現寶寶有吮吸手指、無意識舔牙齒、咬舌頭、用手觸摸快掉的牙齒等習慣,爸媽們一定要及時制止,這些看似微不足道的小習慣,可能會引發孩子牙齒傾斜、牙前突、牙齒間隙增大等牙齒問題;
3、忌過分甜食:少吃甜食、少喝碳酸飲料,尤其是晚上睡前一定要忌甜。小編和小好有約定,下午5點之后,就不可以再吃任何甜食了;吃完甜食應該及時漱口;
小編身邊有個朋友,每晚睡前都給孩子喝一杯牛奶幫助睡眠,沒想到好心辦壞事,幾個月過去了,孩子一直喊牙疼,到了醫院檢查,發現得了“奶瓶齲”!
牛奶這種酸性的食物,對牙齒表面牙釉質的損害是非常大的,有這個習慣的媽媽們,一定要讓孩子刷了牙再睡覺!
4、定期給孩子做牙齒檢查:有條件的媽媽可以在孩子1周歲左右,就預約兒童牙醫;一般來講,1歲之后最好每隔2-3個月就做一次牙齒檢查;如果發現寶寶的乳牙顏色灰暗無光澤,就說明牙齒可能受到損害;如果牙部有黑齲洞,就要盡快到醫院就診。
網友跟帖
Copyright 2015-2020 8bb.com 〖八寶網〗 版權所有 鄂ICP備19016373號-1
聲明: 本站文章均來自互聯網,不代表本站觀點 如有異議 請與本站聯系 本站為非贏利性網站 不接受任何贊助和廣告
網友評論僅供其表達個人看法,并不表明八寶網立場。