時間:2021-03-02 17:59:00來源:本站整理作者:fy點擊:
孩子處于身體快速發育的階段,長時間駝背,坐姿不正確很容易引發脊椎彎曲等問題,再要矯正的話就需要很長的時間,甚至是影響到體形,那么孩子脊柱側彎有哪些影響?下面帶來介紹。

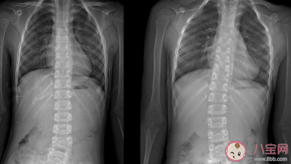
脊柱側彎形成原因
相對復雜,一般有如下四個因素
先天因素:如脊柱裂、腰骶融合等的患兒,本身脊柱發育過程就有問題。
外力及發育等綜合因素:受外力影響,如長期書包過大、鞋子不合適、課桌椅不適宜,容易出現骨盆傾斜、長短腿等姿勢問題;若再合并一些發育問題,或其他綜合因素,可能會導致脊柱側彎。
外傷導致的脊柱側彎:如腰部受到撞擊后往往會發生一些改變。
營養因素:脊柱側彎的孩子通常都有的共性:吃飯挑食,不愛運動,心肺功能差。
當然,受先天遺傳和外傷導致的兩種脊柱側彎的情況,靠人為干預并不能起到效果,但是由不良習慣和飲食不均衡造成的”側彎“,是絕對需要及早介入的
所以,比弄清楚原因更重要的是發現。及早發現,可以及早開始介入和防治。

01、影響身高
孩子出現脊椎側彎后,原本挺直的脊椎彎曲了,自然就會影響身高發育,造成發育不良、個子長不高。
02、外觀畸形
孩子脊柱側彎后,會出現兩個肩膀高度不一樣以及駝背等情況,導致身體外觀畸形。
03、影響心肺功能
孩子脊柱側彎后出現腰背疼痛,產生骨刺,壓迫脊髓或神經,引起截癱或椎管狹窄,導致限制性肺病,影響胸廓發育,壓迫心肺,進而引起心肺功能障礙或衰歇。
04、影響女孩胸部發育
對女孩來說,脊柱側彎會導致雙側乳房發育不均勻、一側肋骨突出。
其實,脊柱側彎不僅對孩子身體帶來負面影響,同時也會帶來心理的影響,很多孩子因為脊柱側彎孩子羞于見人,產生自卑心理,嚴重的形成自閉性格。
以上就是全部內容。
網友跟帖
Copyright 2015-2020 8bb.com 〖八寶網〗 版權所有 鄂ICP備19016373號-1
聲明: 本站文章均來自互聯網,不代表本站觀點 如有異議 請與本站聯系 本站為非贏利性網站 不接受任何贊助和廣告
網友評論僅供其表達個人看法,并不表明八寶網立場。