試管嬰兒在現代來說是很成熟的一種技術,對于治療不孕不育和生育難有很大的幫助,但是對于試管嬰兒這項技術,以及相關的知識,很對人并不太清楚,接下來八寶網小編就來說說有關于試管嬰兒相關知識。..
分享到:
試管嬰兒
試管嬰兒是想做就能做嗎 關于做試管嬰兒的九大誤區
現如今,對于不孕不孕的患者來說,試管嬰兒可謂是一大福音,試管嬰兒目前也越來越普及,但是對于試管嬰兒的認知還是
做試管嬰兒一定要做促排卵嗎 不同促排卵方案對試管嬰兒妊娠率有什么影響
試管嬰兒促排卵的方案是多樣的,但目的都是為了受孕成功,醫生會根據患者的身體健康狀況下,選擇適合的促排卵方案
試管嬰兒促排卵會把卵子提前用完嗎 試管嬰兒促排卵一般用多少卵子
通過使用促排卵藥物會促使多個卵泡發育,并不影響后期月經周期的卵泡,所以也不會提前將卵子用完,而根據卵泡的生
試管嬰兒促排期間可以喝酒嗎 做試管嬰兒需要注意哪些問題
試管嬰兒促排期間,要注意各種飲食習慣和生活習慣,尤其是不要喝酒,會對受孕成功率有一定的影響,除此之外,做試管嬰
封閉抗體陰性患者怎么做試管嬰兒 封閉抗體陰性懷孕怎么保胎
對于封閉抗體陰性的患者在做試管嬰兒時,醫生會進行免疫治療,來避免胎停育等后果,當封閉抗體女性陰性懷孕之后怎
做試管嬰兒最多可以做幾次 試管嬰兒的極限次數
對于一些無法生育的女性,會選擇采用試管嬰兒的方式,但實際上試管嬰兒也是有次數限制的,需要考慮到很多現實方面
試管嬰兒怎么計算懷孕天數 試管嬰兒計算懷孕天數的方法
很多做過試管嬰兒的女性不知道怎么去計算懷孕的天數,從而去預判預產期,畢竟試管嬰兒和自然受孕的過程還是存在
試管嬰兒移植后怎么驗孕 試管嬰兒移植后多久可以測出來懷孕
在試管嬰兒移植后,很多人都比較關心怎么驗孕的問題,根據個人體質不同,試管嬰兒移植后檢測懷孕的時間也所差異,那
試管嬰兒反復失敗是怎么回事 試管嬰兒反復失敗的原因
很多人都有試管嬰兒種植反復失敗的結果,影響種植失敗的因素有很多,胚胎,內膜,內分泌,免疫,遺傳等等,及時的做出調整
第四代試管嬰兒技術是什么 第四代試管嬰兒技術條件
隨著科學技術的發展試管嬰兒技術在一代代的更新,目前試管嬰兒技術已經更新到了第四代,下面八寶網的小編就來說
做試管嬰兒有后遺癥嗎 試管嬰兒適宜的人群有有哪些
對于很多因為身體原因導致不能懷孕的夫妻來說。隨著科學技術的發展,很多人會選擇做試管嬰兒。那么做試管嬰兒
弱精癥可以做試管嬰兒嗎 弱精癥可以人工受精嗎
很多夫妻在結婚后發現遲遲吧懷不上孩子,有時是y因為男方的弱精癥導致的。那么當男方出現弱精癥可以做試管嬰
高齡女性試管嬰兒一次取多少卵合適 試管嬰兒取卵越多越好嗎
現如今,很多高齡女性都會采用試管嬰兒的方式來幫助自己助孕,試管嬰兒通常都會選取一定的卵子數量,很多人認為試
做試管嬰兒要滿足什么條件 試管嬰兒怎么做
現在很多人因為身體或著其它原因導致不孕,又非常想要孩子。那么試管其實是很好的選擇,那么除了考慮費用的問題
試管嬰兒打降調針有什么作用 怎樣提高降調的成功率
一些不孕的女性會通過試管嬰兒來幫助自己受孕,有過試管嬰兒經驗的女性會知道,在促排前會打降調針來提高卵泡的
試管嬰兒取卵會導致卵巢早衰嗎 試管嬰兒取卵后怎么保養卵巢
有些人說試管嬰兒取卵會導致卵巢早衰,讓不少女性朋友望而卻步,女性卵巢保養是是預防早衰的重要工作,而試管嬰兒
男性冷凍精子最佳年齡是什么時候 男性冷凍精子會影響試管嬰兒質量嗎
為了降低未來的生育風險,很多人會采用冷凍的方式,常見的是冷凍胚胎,其實精子也是可以冷凍的,男性精子質量和年齡
第四代試管嬰兒技術優勢是什么 試管嬰兒代數級別越高越好嗎
試管嬰兒技術正在一代一代更新迭代中,目前第四代嬰兒技術已經在研究中,試管嬰兒技術有不同的級別,但并不是越高
黃體功能不全可以做泰國試管嬰兒嗎 黃體功能不全怎么調理
黃體功能不全可不可以做泰國試管嬰兒是很多不孕女性想知道的,這是因為黃體功能不全導致很多女性無法成功受孕
做試管嬰兒需要做哪些檢查 都有些什么檢查
隨著科學技術的進步和發展,不孕不育也可以通過技術得到改善。如今很人都會選擇做試管嬰兒。那么做試管嬰兒都
試管嬰兒移植后有哪些要注意的 移植后的注意事項
如今試管嬰兒已經不是新鮮的事去情了。現在很多懷不了孕的父母在有條件的情況下會選擇做試管嬰兒。那么試管
做試管嬰兒可以泡腳嗎 試管嬰兒移植后多久可以測出懷孕
做試管嬰兒可以泡腳嗎?泡腳對人體是非常有好處的,尤其是在冬季,但是泡腳在一定程度上會影響試管嬰兒的成功率,畢
冷凍胚胎會影響試管嬰兒質量嗎 冷凍胚胎可以保存多久
冷凍胚胎可以保存多久呢?在生活中有不少的女性開始是不育者,又為了以防自己后悔,就會采用冷凍胚胎的方式,冷凍胚
試管嬰兒前有必要做宮腔鏡檢查嗎 宮腔鏡檢查后多久可以做試管嬰兒
很多女性由于很多因素的影響,沒有辦法受孕,于是會通過試管嬰兒的形式,而很多女性都會有一個疑惑,那就是試管嬰兒
患有子宮腺肌癥可以做試管嬰兒嗎 子宮腺肌癥怎么檢查
子宮腺肌癥屬于婦科疾病的一種,雖然比較常見,但是也是屬于比較麻煩的以中國婦科疾病,子宮腺肌癥有哪些癥狀呢?子
宮寒會影響試管嬰兒成功率嗎 怎么改善宮寒
宮寒是一種常見的婦科疾病,嚴重宮寒可能會導致流產或者不孕現象的發生,那么,宮寒會影響試管嬰兒的成功率嗎?女性
免疫性不孕做試管嬰兒有用嗎 免疫性不孕如何檢查
免疫性不孕是比較常見的不孕不育的原因,也是非常麻煩的一種不孕不育的類型,對于一些沒有辦法懷孕的人群,很多人
什么會影響試管嬰兒的成功率 影響試管嬰兒成功率的5大因素
隨著社會的發展,人們的生活方式和生活習慣的改變,出現了越來越多的不孕不育患者,很多不孕不育患者大多通過試管
劉詩詩龍鳳胎是真的嗎 劉詩詩龍鳳胎是試管嬰兒嗎
最近明星劉詩詩懷孕的消息傳來,還有人說劉詩詩懷的是龍鳳胎,很多人猜測劉詩詩是不是做的試管嬰兒,下面八寶網的
試管嬰兒成功率高嗎 5個提高試管嬰兒成功的方法
隨著醫療技術的不斷發展,更多不孕不育的女性開始考慮試管嬰兒的方式,據統計,國內的試管嬰兒成功率為30%~40%,這
為什么很多人去泰國做試管嬰兒 泰國試管嬰兒有什么優勢
計劃做試管嬰兒的夫妻們應該都了解到現在國內已經有第三代試管嬰兒技術,但是還是有很大一部分人選擇去泰國做
做試管嬰兒需要多久 做試管嬰兒要花多少錢
很多夫妻因為各種方面的原因,備孕一直都不能成功,就想通過做試管嬰兒的方式來圓了自己的心愿。但是很多人是第
做試管嬰兒身材會走形嗎 備孕身材走形怎么避免
現在有不少的女性在年輕的時候不想要孩子,但是到了年紀又懷不上了,只能做試管,不過聽說做試管身材會走形是真的
高齡產婦做試管嬰兒需要注意什么 高齡產婦試管嬰兒注意事項
自從國家開放全面二胎之后,相信很多高齡的媽媽們也開始打算通過試管嬰兒技術生育二胎,那么今天八寶網小編就來
做試管嬰兒身材會走形嗎 太胖能做試管嬰兒嗎2018
很多想要做試管嬰兒的女性對試管嬰兒總覺得很神秘要求很高,下面八寶網的小編就來說說:做試管嬰兒身材會走形嗎
什么是試管嬰兒 做試管嬰兒需要注意哪些
相信大家很多都聽說過娛樂圈辣媽鐘麗緹,她最近也正在進行試管嬰兒的備孕工作,相信很多夫妻也有做試管嬰兒的打
鐘麗緹是做的試管嬰兒嗎 鐘麗緹試管嬰兒在哪做的
鐘麗緹最近身體變胖了很多人都在議論紛紛,并且有人懷疑鐘麗緹是做的試管,那么究竟鐘麗緹是不是做的試管嬰兒呢
試管嬰兒鮮胚移植卵巢體積增大怎么辦 鮮胚移植和凍胚移植有什么區別
有女性朋友說自己做試管嬰兒鮮胚移植五十天做的b超,宮內早孕,雙卵巢體積增大不知道怎么辦,下面八寶網的小編就
孕酮低是怎么回事2018 試管嬰兒孕酮低的原因是什么
很多女性不孕不育想要做試管嬰兒,被檢查出來的結果就是孕酮低,下面八寶網的小編就來說說:孕酮低是怎么回事2018
試管嬰兒前需要結扎輸卵管嗎 結扎對試管嬰兒卵泡數量有影響嗎
在做試管嬰兒前有醫生會要患者結扎輸卵管,下面八寶網的小編就說說:試管嬰兒前需要結扎輸卵管嗎 結扎會對試管
試管嬰兒懷上了還用在補葉酸嗎 做試管嬰兒前要補充葉酸嗎
在備孕前葉酸是必不可少的,那么試管嬰兒懷上了還用在補葉酸嗎 做試管嬰兒前要補充葉酸嗎。下面八寶網的小編
做試管嬰兒內膜薄怎么辦 宮內膜薄的治療怎么做
子宮宮內膜薄會影響懷孕的媽媽健康,對生寶寶也有危險,下面八寶網的小編就來說說:做試管嬰兒內膜薄怎么辦 宮內
試管嬰兒出生的寶寶會有缺陷嗎 養育是先天遺傳和后天養育的結合
很多家庭還是沒辦法接受試管嬰兒怕試管嬰兒寶寶出現問題,下面八寶網的小編就來說說:試管嬰兒出生的寶寶會有缺
試管嬰兒等待著床流程 試管嬰兒著床期間異常有哪些
試管嬰兒胚胎移植之后就是等待胚胎著床,下面八寶網的小編就來說說:試管嬰兒等待著床流程 試管嬰兒著床期間異
胚胎成功移植一定能懷孕嗎 試管嬰兒成功移植胚胎不懷孕怎么辦
在試管嬰兒里面胚胎成功移植后很多媽媽都送了一口氣,那么胚胎成功移植一定能懷孕嗎 試管嬰兒成功移植胚胎不
有宮頸炎能做試管嬰兒嗎 宮頸炎做試管嬰兒要做什么檢查
有媽媽說自己準備做試管嬰兒,但是查出有宮頸炎,該怎么辦,下面八寶網的小編就來說說:有宮頸炎能做試管嬰兒嗎 宮
輸卵管結核可以做試管嬰兒嗎 輸卵管結核停藥多久可以做試管嬰兒
輸卵管結核也是影響女性不孕不育的原因之一,不過可以通過試管嬰兒來解決問題,下面八寶網的小編就來說說:輸卵管
試管嬰兒胚胎著床成功的感覺 取卵一次第二次移植胚胎什么時候著床
試管嬰兒胚胎受精成功之后就是胚胎移植到體內,然后就期待胚胎能夠成功著床,下面八寶網的小編就來說說:試管嬰兒
試管嬰兒驗孕流程2018 試管嬰兒驗孕HCG孕酮標準怎么看
在試管嬰兒胚胎移植之后就是等待胚胎著看看有沒有成功懷孕,下面八寶網的小編就來說說:床試管嬰兒驗孕流程2018
輸卵管積水能做試管嬰兒嗎 輸卵管積水怎么預防2018
輸卵管積水是很多女性會碰見導致不孕癥的情況,那么輸卵管積水能做試管嬰兒嗎 輸卵管積水怎么預防,下面八寶網
輸卵管積水影響試管嬰兒成功率嗎 輸卵管積水是因為什么疾病
在做試管嬰兒之前很多人會去排查有哪些疾病會影響做試管嬰兒,下面八寶網的小編就來說說:輸卵管積水影響試管嬰
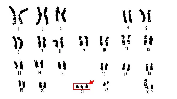
染色體平衡異位可以做試管嬰兒嗎 染色體平衡異位會有哪些疾病
正常人的染色體都是在細胞內數量固定好了的,如果染色體發型異常也會產生很多疾病,下面八寶網的小編就來說說:染
吃止疼藥對精液質量有影響嗎 吃止疼藥影響試管嬰兒備孕嗎
很多人在備孕方面吃藥比較謹慎,有男性經常會吃止疼藥,那么吃止疼藥對精液質量有影響嗎 吃止疼藥影響試管嬰兒
泰國試管嬰兒可以保證生男孩嗎 泰國試管嬰兒如何成功選擇性別
試管嬰兒給不孕癥患者帶來了福音,很多人對試管嬰兒的性別選擇很感興趣,下面八寶網的小編就來說說:泰國試管嬰兒
試管嬰兒移植前感冒可以吃藥嗎 試管嬰兒移植后感冒的治療的土偏方
試管嬰兒移植前后很多女性身體情況都會下降,很容易出現感冒的情況,那么如果試管嬰兒移植感冒可以吃藥嗎,下面八
捐贈卵試管嬰兒到底靠不靠譜 贈卵試管嬰兒需要注意什么
對于一些捐贈卵試管嬰兒需要的人來說,在一些事宜上總是害怕失敗和被騙,畢竟試管嬰兒的成功率一半一半的,那么捐
為什么試管嬰兒胚胎著床失敗 試管嬰兒胚胎著床失敗的原因是什么
試管嬰兒雖然是孕育寶寶的一種手段,但是試管嬰兒失敗的幾率也是蠻大的,那么為什么會失敗呢,八寶網小編就來說說
多囊卵巢對試管嬰兒有什么影響 多囊卵巢對寶寶影響大嗎
多囊卵巢可以試管嬰兒嗎,媽媽是多囊卵巢會對試管寶寶產生影響嗎,八寶網小編就來說說吧。多囊患者行試管嬰兒治
多囊卵巢對試管嬰兒有什么影響 多囊卵巢能做試管嬰兒嗎
在出現了以后很多的人多囊卵巢覺得懷孕無望了,其實可以通過試管嬰兒達到懷孕的目的,但是做試管嬰兒成功率高嗎
宮外孕切除輸卵管可以做試管嗎 宮外孕切除輸卵管做試管嬰兒成功幾率高嗎
一些經受了無法懷孕的夫妻的苦以后在科技的發達中終于得到了改善,無法懷孕的夫妻可以通過試管嬰兒進行受孕,但
輸卵管切除了可以做試管嬰兒嗎 宮外孕切除了輸卵管還能要孩子嗎
宮外孕后還能懷孕嗎,宮外孕切除了輸卵管后可以做試管嗎,八寶網小編就來說說吧。宮外孕,輸卵管切除了,可以做試管
試管嬰兒的成功率怎么計算 怎么知道試管嬰兒的成功率
試管嬰兒是現在很多人都關心的問題,因為結婚晚,或者結婚后不想生孩子,到想生孩子的年紀的時候年紀又上來了,那么
試管嬰兒懷雙胞胎的幾率有多大 試管嬰兒雙胞胎長得像嗎
現在不少女性結婚晚,生孩子也晚,所以在準備生孩子的時候往往生不出孩子了,那就要借助現在的科技試管嬰兒,不過試
子宮肌腺癥可以做試管嬰兒嗎 子宮肌腺癥做試管嬰兒成功率多少
患有嚴重子宮肌腺癥的女性,不僅懷孕機率降低,即使成功受孕后仍有流產或早產等風險。病人接受人工生殖之前,可先
試管嬰兒出生后和正常受孕的寶寶有什么區別 試管嬰兒容易流產嗎
在選擇試管嬰兒以后,很多的夫妻也會了解試管嬰兒對寶寶的健康的影響,到底和正常受孕的嬰兒有什么不同呢?其實
試管嬰兒最多能做多少次 準備試管嬰兒怎么調理
在進行試管嬰兒的時候由于自身的一些身體問題沒有注意,常常會造成受孕不成功或者流產的情況,不少夫妻對于人工
不孕治療選人工受孕還是試管嬰兒 人工受孕和試管嬰兒如何選擇
國內不孕夫妻越來越多,該選擇人工受孕,或是試管嬰兒,成了許多人討論的焦點。但是怎么選擇受孕的方式也是很多的
試管嬰兒移植后出現嘔吐正常嗎 試管嬰兒移植后出現嘔吐怎么辦
有媽媽在做試管嬰兒移植后出現嘔吐的現象,那么試管嬰兒移植后出現嘔吐正常嗎 試管嬰兒移植后出現嘔吐怎么辦
試管嬰兒移植后腹痛正常嗎 試管嬰兒移植后腹痛怎么辦
試管嬰兒移植后的很多癥狀其實出現是正常的,但是還是會有很多家長擔心,下面八寶網的小編就來說說:試管嬰兒移植
試管嬰兒移植后腹脹正常嗎 試管嬰兒移植后腹脹怎么辦
試管嬰兒移植后很多媽媽會覺得身體不適,并且會出現很多癥狀,下面八寶網的小編就來說說:試管嬰兒移植后腹脹正常
試管嬰兒移植后出血正常嗎 試管嬰兒出血和宮外孕有關嗎
很多做試管的女性總是會碰上各種癥狀,又擔心這些癥狀影響寶寶的身體健康,下面八寶網的小編就來說說:試管嬰兒移
試管嬰兒宮外孕的癥狀 試管嬰兒宮外孕還能繼續懷孕嗎
如果試管嬰兒孕媽出現宮外孕,之前是會有一些征兆的,下面八寶網的小編就來說說:試管嬰兒宮外孕的癥狀 試管嬰兒
試管嬰兒植入多個胚胎有風險嗎 試管嬰兒孕期需要注意什么
對于做試管嬰兒的夫妻來說總是希望成功率能高點,因此很多的人會選擇植入多個胚胎,但是是不是植入胚胎越多越好
試管嬰兒雙胞胎的幾率大嗎 為什么試管嬰兒技術容易懷上雙胞胎
在進行備孕的時候很多的人覺得試管嬰兒懷雙胞胎是很大幾率的,并且可以選擇,但是這其中的原理是什么呢?為什么
試管嬰兒孕期照護和自然懷孕相同嗎 如何照顧試管嬰兒孕婦
很多的人不知道怎么照顧試管嬰兒的孕媽媽,畢竟試管嬰兒也容易流產,因此很多的人會格外的小心,日常生活一旦出現
試管嬰兒會有染色體異常嗎 為什么發生染色體異常
有的夫妻結婚多年未能懷孕,和老公兩人決定藉由人工生殖的醫學技術幫助懷孕。經過試管嬰兒的療程,終于如愿懷孕
胚胎植入母體后容易產生副作用嗎 試管嬰兒胚胎植入對母體有什么影響
很多的人不知道其實試管嬰兒進行胚胎植入的時候會影響母體哪些方面,有的備孕的媽媽以為會影響自己的染色體,其
試管嬰兒的流產率高嗎 試管嬰兒流產率是多少
對于懷不上孩子的家庭來說現在有了新的選擇,就是試管嬰兒,很多的人認為試管嬰兒是百分百可以懷孕的,其實由于個
試管嬰兒移植成功后如何保胎 試管嬰兒胚胎植入后到成功懷孕前不能亂動身體嗎
現代社會婚育年齡不斷往上提高,加上生活壓力、環境污染等因素,導致許多夫妻經過一年正常的性生活卻遲遲未能懷
爸爸去哪兒第六季耿樂兒子是試管嬰兒嗎 耿樂老婆是誰
我的嗎!!耿樂兒子太可愛了啊!!!太萌啦!!!!!!我要看我要看這期的爸爸去哪兒!!太萌啦小家伙。我有預感耿樂和
熱門標簽
醫用外科口罩2020大寒臘八節2020元旦節2019平安夜圣誕節說說化妝水和爽膚水的區別yslbb霜cc霜氣墊的區別男士香水雅培小安素奶粉海普諾凱1897奶粉初為人父感慨孩子吃糖寶寶乳痂桂花中秋節賞月胎盤老化中秋節祝福防拐
Copyright 2015-2020 8bb.com 〖八寶網〗 版權所有 鄂ICP備2020019878號-4
聲明: 本站文章均來自互聯網,不代表本站觀點 如有異議 請與本站聯系 本站為非贏利性網站 不接受任何贊助和廣告